SOLUTIONS
The only AI certified to read mammograms independently
Vara AI is CE-certified (Class IIb) to operate as an independent reader for both screening and diagnostic mammography.
SCREENING
Vara Workflow
Streamline case management and prioritize reads.
Empowering radiologists with AI-driven prioritization and insights while managing screening cases seamlessly.
Safety Net
AI alerts radiologists to missed findings, reducing errors and boosting confidence in every read without bias.

Simplified Reporting
Reports for normal cases are generated automatically. Review, sign, and send in seconds.

SCREENING & CURATIVE
Vara Plugin
Lightweight AI deployment for existing screening and curative workflows
Add intelligence to screening or diagnostic reads without changing your workflow.
Seamless Integration
Connect Vara AI Plugin directly to your PACS via API for flexible, efficient workflow integration.

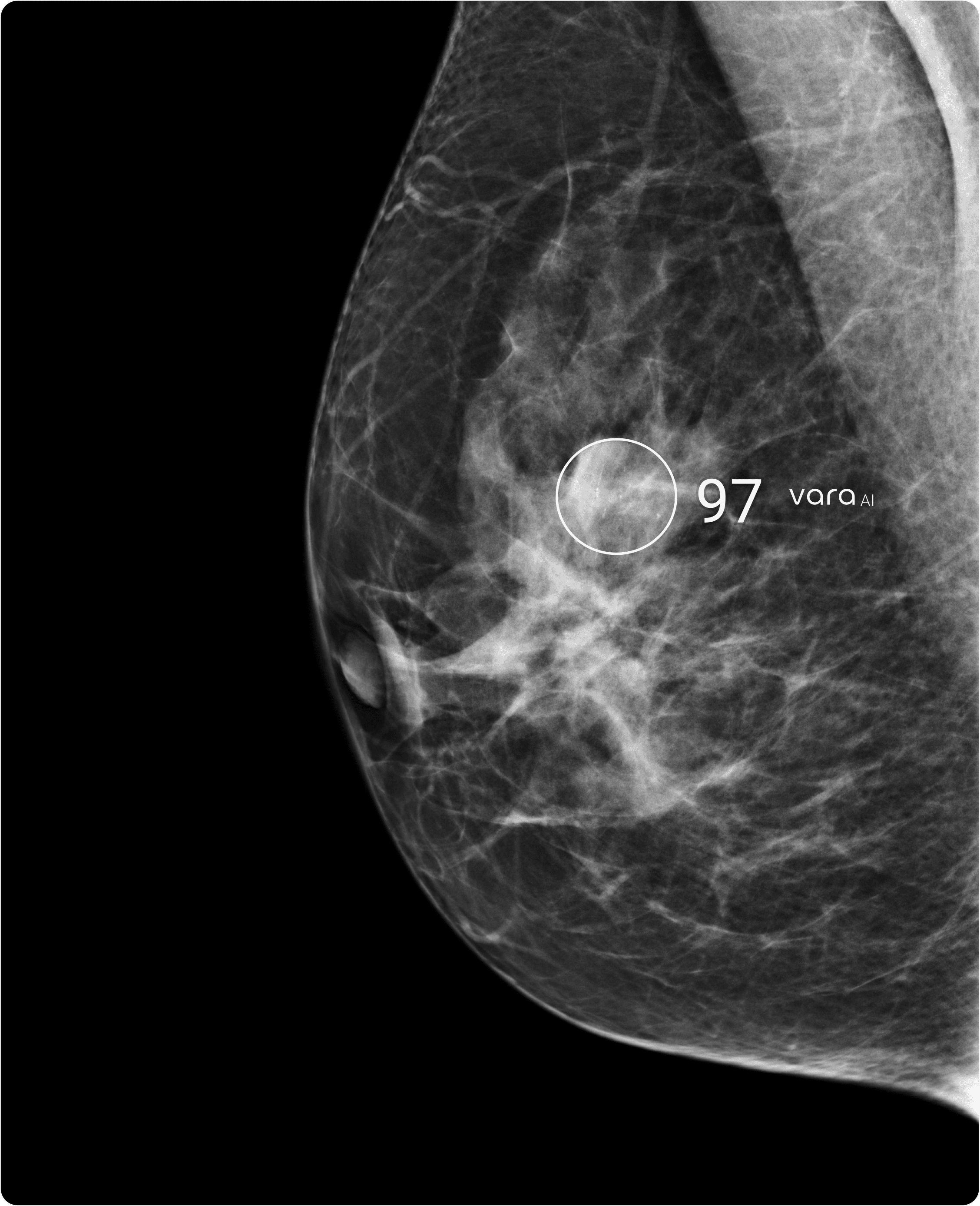
CAD-SR & Lesion Scores
Lesion markings and per-lesion scores provide precise guidance for interpretation and prioritization.

Exam-Level AI Score
Overall exam assessment (0–100) indicates how suspicious the AI considers the findings.





